
FACETAS EM RESINA E PORCELANA
Como funciona?
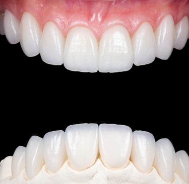
O procedimento consiste em moldar ou esculpir manualmente (no caso da resina) ou confeccionar em laboratório (no caso da porcelana) uma camada estética que reveste os dentes anteriores.
Facetas de Resina: aplicadas e esculpidas diretamente no consultório, em apenas uma sessão.
Facetas de Porcelana: confeccionadas em laboratório e cimentadas depois; exigem geralmente duas consultas.
O processo envolve:
Avaliação e planejamento estético.
Fotografias e análise da harmonia do sorriso.
Preparação suave dos dentes (quando necessário).
Colocação das facetas e ajustes finais.
O que é?
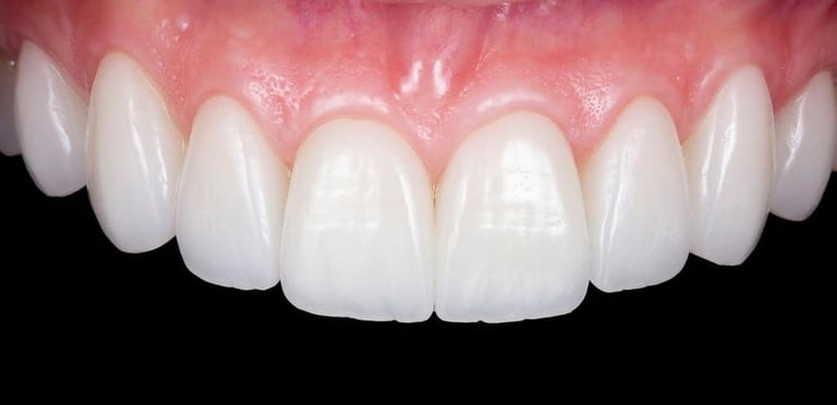
As facetas dentárias são lâminas muito finas aplicadas sobre a parte frontal dos dentes para melhorar forma, cor, alinhamento e harmonia do sorriso.
Elas podem ser feitas em resina composta ou porcelana, dependendo do objetivo estético, durabilidade desejada e orçamento do paciente.
Benefícios
✨ Resultado estético imediato
✨ Sorriso mais branco e alinhado
✨ Pouco desgaste dentário
✨ Procedimento rápido
✨ Aumento da autoestima
✨ Naturalidade e harmonia facial
Diferenças principais:
Resina: mais acessível, rápida, reparável, porém menor durabilidade e maior chance de manchar.
Porcelana: mais resistente, brilho duradouro, altíssima naturalidade, não mancha — investimento mais alto.


